Việc sử dụng mặt dán sứ Veneer đang là lựa chọn hàng đầu để phục hình răng hư tổn. Tuy nhiên, không phải ai cũng có thể áp dụng phương pháp này, việc chỉ định thực hiện chỉ được các bác sĩ cân nhắc khi đã tiến hành thăm khám cụ thể. Vậy trường hợp nào nên làm mặt dán sứ Veneer?
Trước khi tìm hiểu trường hợp nào nên làm mặt dán sứ veneer, bạn cần phải hiểu rõ về mặt dán sứ là gì? Bản thân Veneer sứ chính là một mặt dán mỏng 0.5-0.6mm bọc bên ngoài bề mặt răng, thay thế men răng thật để che đi những khiếm khuyết của răng.

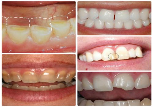
Mặt dán sứ Veneer – Trường hợp nào nên làm mặt dán sứ Veneer?
Đối với các trường hợp răng bị vỡ, mẻ ở mức độ nhỏ thì mặt dán sứ sẽ là giải pháp hiệu quả giúp phục hình cho răng. Mặt dán sứ mang lại tính thẩm mỹ rất cao cũng như đảm bảo khả năng ăn nhai hoàn hảo, không hề bị cộm cấn khó chịu.
Trường hợp nào nên làm mặt dán sứ Veneer là thắc mắc của rất nhiều người. Chuyên gia nha khoa chỉ định thực hiện mặt dán sứ Veneer trong những trường hợp dưới đây:
? Răng biến đổi màu, răng nhiễm tetracycline, răng nhiễm fluoride mà không thể tẩy trắng theo phương pháp thông thường.
? Răng bị mòn cạnh cắn, hình dạng răng ngắn hơn bình thường.
? Răng bị thưa (hở kẽ) nhưng khoảng cách không lớn lắm (dưới 2mm).
? Răng có miếng trám composite lớn bị đổi màu.
? Răng bị nứt, vỡ, mẻ nhỏ.

Minh họa một số trường hợp nên thực hiện dán mặt sứ Veneer
LƯU Ý: Veneer sứ chống chỉ định khi bạn mắc các bệnh lý về nha chu, răng bị mọc lệch, sai khớp cắn nặng.
Sau khi xác định rõ trường hợp nào nên làm mặt dán sứ veneer và nhận thấy tình trạng của mình phù hợp với phương pháp làm răng sứ này, bạn có thể yên tâm thực hiện dịch vụ vì những ưu điểm vượt trội mà nó mang lại:
? Tính thẩm mỹ tuyệt đối
Veneer sứ có hình dáng chính xác của bề mặt răng, được thiết kế giống như răng thật cả về màu sắc, kích thức và độ gợn mặt răng, đảm bảo tính thẩm mỹ tối đa nhất.
? Đảm bảo về tỉ lệ mài cùi răng
Thực hiện phục hình Veneer sứ không cần phải mài răng nhiều như khi bọc răng sứ (chỉ cần mài bớt một phần nhỏ bề mặt răng khoảng 0,05mm để phủ mặt dán sứ) nên ít bị ê buốt khi mài, đồng thời mặt trong của răng vẫn là răng thật nên cảm giác ăn, nhai của bạn hầu như không thay đổi so với trước khi làm răng Veneer sứ.
? Độ bền chắc cao
Mặt dán sứ cũng có độ bền chắc khá cao, duy trì hiệu quả thẩm mỹ từ 5 – 7 năm với độ sáng bóng cao mà không bị đổi màu hay bong tróc.

Mặt dán sứ Veneer được đánh giá cao về tính thẩm mỹ và khả năng cảm biến thức ăn
Tuy nhiên, trong những trường hợp không thể áp dụng làm răng sứ Veneer thì bọc răng sứ sẽ là một giải pháp thay thếphù hợp. Cũng là một cách khắc phục khuyết điểm răng bằng vật liệu sứ nhưng bọc răng sứ đa dạng đối tượng thực hiện hơn và hiệu quả thẩm mỹ đem lại cũng cao hơn so với mặt dán sứ.
Mọi băn khoăn về trường hợp nào nên làm mặt dán sứ Veneer, bạn có thể gửi câu hỏi hoặc đăng ký lịch hẹn qua form dưới đây để được các chuyên gia
Với việc hội tụ nhiều ưu điểm nổi bật, phương pháp dán răng sứ Veneer đã và đang trở thành giải pháp thẩm mỹ răng tối ưu được nhiều khách hàng tin tưởng và chọn lựa khi gặp phải tình trạng răng khiếm khuyết. Bạn đã biết gì về phương pháp thẩm mỹ răng này? ...
Độ bền của mặt dán sứ Veneer phụ thuộc vào nhiều yếu tố, đặc biệt là cách chăm sóc sau khi phục hình và công nghệ dán mặt sứ áp dụng. Vậy cụ thể độ bền của mặt sứ là bao lâu? Bài viết sau sẽ giải đáp giúp bạn! 1/ Độ bền của mặt ...
Câu hỏi: Thưa bác sỹ Paris. Răng em bị mòn men và hơi ố vàng, thân răng ngắn và cười hở lợi. Nhiều người khuyên em nên đi dán Veneer mà em chưa hiểu rõ lắm tác dụng của mặt dán sứ Veneer là gì? Mong bác sỹ tư vấn sớm giúp em ạ, em xin ...
Làm răng veneer sứ là dịch vụ khá phát triển trong thời gian gần đây. Đây là giải pháp lý tưởng phục hình răng bởi khả năng duy trì độ trắng sáng, bền đẹp mà không phải mài đi quá nhiều răng thật. Hãy cùng bài viết dưới đây tìm hiểu chi tiết về dịch vụ ...
Câu hỏi: Thưa bác sĩ, em thấy mặt sứ veneer khá đẹp và tự nhiên nên đang muốn đi dán trên răng của mình. Tuy nhiên, em vẫn hơi băn khoăn về khoản chi phí, không biết giá làm răng Veneer sứ là bao nhiêu ạ? Mong bác sĩ tư vấn sớm giúp em. Em cảm ơn ...
Câu hỏi: Bác sỹ ơi, răng cháu bị nhiễm màu kháng sinh khá nặng và không thể tẩy trắng được. Cháu băn khoăn có nên làm mặt dán sứ veneer cho trường hợp răng ố vàng do nhiễm màu kháng sinh không ạ và răng veneer sứ có tốt không? (Hồ Ngọc Anh – Hà ...
Hãy để lại bình luận của bạn bên dưới!
Nhập thông tin của bạn
×