Trang chủ Răng sứ thẩm mỹ Bọc răng sứ Cercon có bị đau nướu hay không?

Bọc răng sứ Cercon có bị đau nướu hay không?

Một trong những dòng sứ được ưa chuộng nhất khi phục hình cho răng chính là răng sứ Cercon nhưng vẫn còn khá nhiều băn khoăn về quy trình bọc sứ có thể gây ê nhức nướu. Vậy bọc răng sứ Cercon có bị đau nướu không? Bác sỹ nha khoa Paris sẽ cung cấp thông tin cụ thể nhất cho bạn.

Tại sao răng sứ Cercon lại được ưa chuộng?

Răng sứ Cercon là một trong những dòng sứ không kim loại (răng sứ toàn sứ) tốt nhất và được rất nhiều bệnh nhân lựa chọn làm răng sứ phục hình trong các trường hợp răng vỡ, mẻ, răng xỉn màu rặng hay hỗ trợ trồng răng giả. Ưu điểm nổi bật nhất của răng sứ Cercon chính là độ bền chắc có thể tồn tại tới 20 năm mà không cần phục hình trở lại. Nếu như độ chịu lực của răng thật chỉ đạt từ 80-120Mpa thì răng sứ Cercon có độ chịu lựa cao gấp gần 5 lần là 900Mpa. Chính nhờ độ chịu lực cao như vậy mà khi phục hình, đặc biệt cho răng hàm sẽ đảm bảo khả năng ăn nhai một cách tốt nhất, ngay cả với những thức ăn cứng, dai.

Bọc răng sứ Cercon có bị đau nướu hay không?【BS Tư Vấn】1Răng sứ Cercon có độ bền chắc rất cao

Do tính chất là dòng răng sứ toàn sứ nên màu sắc của răng sứ Cercon đạt độ sáng bóng tự nhiên cao, không bị thâm đen viền nướu như răng sứ kim loại. Độ bền răng sứ Cercon rất tốt, răng sứ Cercon cũng có độ lành tính cao, hiện nay chưa ghi nhận bất kỳ biến chứng nào sau khi phục hình với dòng răng sứ không kim loại này.

Bọc răng sứ Cercon có bị đau nướu không?

Quy trình bọc răng sứ Cercon về cơ bản giống với các dòng răng sứ khác và được tiến hành bằng việc thăm khám tình trạng răng miệng, nếu bạn mắc các bệnh lý thì cần được điều trị triệt để trước khi lắp chụp sứ lên trên. Cùi răng được mài nhỏ là cách sửa soạn cho chụp sứ lắp lên trên không bị cong vênh, cộm cấn. Dấu răng sẽ được lấy sau khi mài cùi và gửi thông số về labo chế tạo răng sứ. Răng sứ khi hoàn thành sẽ được lắp lên trên cùi răng và chỉnh sửa khớp cắn cho đến khi đạt được độ sát khít và thẩm mỹ sẽ tiến hành cố định bằng một loại vật liệu nhất định.

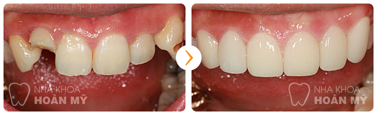
Bọc răng sứ Cercon có bị đau nướu hay không?【BS Tư Vấn】2Bọc răng sứ Cercon thường không gây kích ứng nướu nhiều

Bọc răng sứ Cercon có bị đau nướu không còn tùy thuộc vào thao tác và kỹ thuật của nha sỹ. Theo lý thuyết thì khi lắp răng sứ Cercon lên trên răng giả thì không có tác động nhiều đến nướu và không quá ê buốt. Tuy nhiên, cũng có trường hợp nha sỹ thiếu kinh nghiệm khi phục hình bọc mão có kích thích đến nướu khi chỉnh sửa. Đặc biệt, nếu răng sứ không được phục hình sát khít với nướu thì lâu ngày có thể dẫn tới hiện tượng hở chân nướu, thức ăn sẽ giắt vào bên trong, khiến cho miệng có mùi hôi cũng như tạo điều kiện cho vi khuẩn phát triển và gây bệnh gây sâu răng.

Có thể nói thao tác lắp chụp sứ sẽ quyết định đến bọc răng sứ Cercon có bị đau nướu không. Bạn có thể yên tâm nếu được phục hình với công nghệ tốt, bác sỹ giàu kinh nghiệm thì việc bọc răng sứ sẽ không gây đau nướu nhiều, có chăng chỉ là một kích ứng nhẹ không đáng kể.

Bọc răng sứ Cercon có bị đau nướu hay không?【BS Tư Vấn】3Công nghệ tốt sẽ giúp khắc phục tình trạng đau nhức khi bọc răng sứ 

Với công nghệ bọc răng sứ mới CT 5 chiều, khả năng bọc răng sứ Cercon bị đau nướu sẽ được hạn chế tối đa. Đây là sáng chế mới nhất của Bệnh viện Răng hàm mặt Forsyth danh tiếng – Hoa Kỳ. Công nghệ mới được áp dụng hầu khắp các bệnh viện răng hàm mặt lớn trên thế giới bởi 4 ưu điểm:

– Có độ sát khít nướu cao, hoàn toàn không bị hở viền nướu hay đau nhức khi lắp răng sứ

– Răng sứ có màu sắc tự nhiên, sáng bóng, không đen viền chân răng

Răng sứ có độ bền chắc cao, đảm bảo ăn nhai bình thường hàng chục năm hoặc lâu hơn nữa

– Rút ngắn thời gian phục hình một cách tối đa chỉ sau 2 lần hẹn

Nha khoa Paris đã được chuyển giao trực tiếp công nghệ bọc sứ mới và tiến hành phục hình răng cho hàng trăm bệnh nhân với công nghệ CT 5 chiều. Các phản hồi của khách hàng đều cho thấy mức độ hài lòng với kết quả sau khi bọc sứ.

BÀI VIẾT LIÊN QUAN
So sánh răng sứ Cercon và Emax, loại nào tốt hơn?

So sánh răng sứ Cercon và Emax, loại nào tốt hơn?

Răng sứ Cercon và Emax là 2 trong số những dòng răng toàn sứ đang được ưa chuộng nhất trên thị trường nha khoa hiện nay. Hãy cùng chúng tôi tìm hiểu về nguồn gốc xuất xứ cũng như so sánh ưu nhược điểm của hai loại răng toàn sứ này xem đâu mới là ...

Răng sứ Cercon HT giá bao nhiêu? Bảng giá CHUẨN năm 2019

Răng sứ Cercon HT giá bao nhiêu? Bảng giá CHUẨN năm 2019

Răng sứ Cercon HT là một trong những loại răng sứ cao cấp nhất hiện nay vì vậy được rất nhiều người tin tưởng sử dụng. Nhưng bọc răng sứ Cercon HT giá bao nhiêu là hợp lý nhất thì nhiều người vẫn chưa biết. Bài viết hôm nay sẽ tiết lộ cho bạn đọc ...

Giải đáp: Chất lượng bọc răng sứ Cercon có tốt không?

Giải đáp: Chất lượng bọc răng sứ Cercon có tốt không?

Câu hỏi: Thưa bác sĩ. Em không biết là răng sứ Cercon có tốt không ạ? Em bị gãy một chiếc răng hàm nên định bọc bằng răng sứ Cercon. Tuy nhiên, chưa rõ ưu và nhược điểm của dòng răng sứ này. Mong bác sĩ tư vấn giúp em. Em cảm ơn ạ! (Hải ...

Top 5 cách chăm sóc răng sứ Cercon giúp răng khỏe đẹp trọn đời

Top 5 cách chăm sóc răng sứ Cercon giúp răng khỏe đẹp trọn đời

Cách chăm sóc răng sứ sau khi bọc không chỉ giữ gìn răng sứ bền đẹp mà còn kéo dài tuổi thọ lâu hơn. Vậy chăm sóc răng bọc sứ như thế nào để hàm răng luôn khỏe mạnh, bền đẹp nhất? Cùng theo dõi bài viết dưới đây để rõ câu trả lời! 1/ Vì sao ...

Top 5 thông tin QUAN TRỌNG về răng sứ Cercon cần biết

Top 5 thông tin QUAN TRỌNG về răng sứ Cercon cần biết

Chắc hẳn, nhiều người đã nghe nói tới răng sứ Cercon. Tuy nhiên, không phải ai cũng biết răng toàn sứ Cercon là gì? Mão sứ Cercon có mấy loại? Chi phí bao nhiêu? Nếu bạn đang gặp phải băn khoăn về vấn đề này, theo dõi ngay bài viết dưới đây để rõ đáp ...

Bọc răng sứ cercon giá bao nhiêu tiền? So sánh với các dòng răng sứ khác

Bọc răng sứ cercon giá bao nhiêu tiền? So sánh với các dòng răng sứ khác

Câu hỏi: Chào bác sĩ. Em đang muốn bọc lại 2 răng cửa bị mẻ do ngã xe. Em có tham khảo một số loại răng sứ thì thấy răng sứ Cercon là loại rất tốt nên đang tính lựa chọn loại này. Tuy nhiên, em không biết bọc răng sứ cercon giá bao nhiêu ...