Bọc răng sứ bị viêm lợi là biến chứng nguy hiểm có thể kéo theo nhiều bệnh lý răng miệng khác. Vậy nguyên nhân từ đâu dẫn tới viêm lợi sau khi bọc răng sứ và cách khắc phục ra sao hiệu quả? Cùng tham khảo bài viết dưới đây để tìm ra lời giải đáp!
Viêm lợi sau khi bọc răng sứ là tình trạng răng miệng bệnh nhân xuất hiện những dấu hiệu cho thấy phần lợi, nướu, mô mềm nơi tiếp xúc với răng sứ mới phục hình có hiện tượng tấy đỏ, viêm nhiễm gây ra những cơn đau nhức khó chịu.

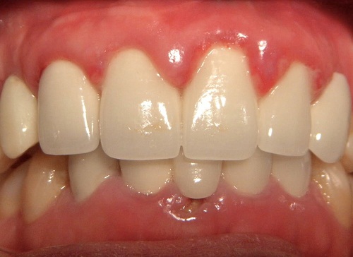
Bọc răng sứ bị viêm lợi có thể dẫn tới tình trạng viêm quanh răng và mất răng
Chụp răng sứ bị viêm lợi nếu không được hỗ trợ điều trị sớm sẽ ảnh hưởng nghiêm trọng tới sức khỏe răng miệng. Vì tình trạng viêm lợi được cho là yếu tố khởi phát dẫn tới bệnh lý viêm quanh răng, làm tiêu xương ổ răng dẫn tới mất răng hàng loạt. Vậy vì sao bọc răng sứ lại bị viêm lợi?
Theo Ts. Bs Đàm Ngọc Trâm – Giám đốc hệ thống chuỗi Nha khoa Paris cho biết, có rất nhiều nguyên nhân dẫn đến bệnh lý viêm lợi. Tuy nhiên, cần kể tới một số nguyên nhân chính như sau:
Lợi là tổ chức bao quanh chân răng để bảo vệ, ngăn ngừa vi khuẩn xâm nhập gây viêm nhiễm và phá hủy các tổ chức quanh răng. Nhưng khi thực hiện bọc răng sứ, quá trình mài răng hoặc vệ sinh khoang miệng không đúng sẽ làm tổn thương ngà răng, hoặc gây kích ứng nướu, tạo điều kiện cho vi khuẩn và thức ăn xâm nhập và hình thành bệnh lý viêm lợi.

Bọc răng sứ có thể bị viêm lợi nếu nha sĩ thực hiện sai kỹ thuật mài răng
Có một số ít người có thể dị ứng với thành phần cấu tạo của răng sứ như Titan, Niken… trong dòng sứ kim loại. Do đó, trong thời gian sử dụng có thể gây kích ứng nướu, viêm lợi trầm trọng và răng sau khi bọc sứ bị nhức
Bọc răng sứ bị viêm lợi còn có thể do bản thân người sử dụng mắc một số bệnh lý răng miệng khác nhưng chưa được hỗ trợ điều trị dứt điểm để lại mầm mống khiến cho răng bị viêm lợi sau khi bọc răng sứ.
Trên đây là 3 nguyên nhân gây bệnh lý viêm lợi phổ biến. Dựa vào nguyên nhân cụ thể cũng như tình trạng viêm lợi mà nha sĩ sẽ đưa ra những cách xử lý phù hợp, đảm bảo khắc phục triệt để tình trạng viêm lợi sau khi bọc răng sứ của khách hàng.
Như đã thông tin, nha sĩ sẽ dựa vào nguyên nhân gây bệnh mà đưa ra cách khắc phục tình trạng bọc sứ bị viêm lợi khác nhau. Dưới đây là một số cách khắc phục bác sĩ có thể được chỉ định trong trường hợp này:
Bác sĩ có thể tiến hành tháo gỡ răng sứ cũ để tiến hành lại thao tác mài cùi răng, lấy dấu hàm và chế tạo một mão răng sứ mới phù hợp hơn cho người sử dụng.
Tại Nha khoa Paris, quy tụ đội ngũ bác sĩ chuyên môn giỏi, trên 15 năm kinh nghiệm, kết hợp với ứng dụng công nghệ chụp răng sứ Nano Shining 5S, hệ thống máy móc chế tạo răng sứ chuẩn xác sẽ giúp bạn có được kết quả bọc răng sứ an toàn, phù hợp với cơ thể, đảm bảo tối đa hiệu quả ăn nhai cũng như tính thẩm mỹ cho hàm răng.

Bọc răng sứ bị viêm lợi có thể phải gỡ bỏ răng sứ và bọc răng sứ mới
Trong những trường hợp viêm lợi kéo dài dẫn tới hiện tượng tiêu xương ổ răng, nha sĩ có thể xử lý tình trạng viêm lợi sau bọc răng sứ bằng các nạo sạch tổ chức viêm, sau đó tiến hành cắt phần lợi để cho bờ viền chụp răng sứ không nằm quá sâu trong lợi.
Trong những trường hợp trầm trọng hơn, khoảng sinh học ở tổ chức quanh răng bị phá vỡ quá nhiều, nha sĩ bắt buộc sẽ phải phá bỏ răng sứ cũ, sau đó tiến hành tiểu phẫu để di dời, tái lập khoảng sinh học, rồi chờ thời gian nướu ổn định (khoảng 20 – 30 ngày) mới làm lại răng sứ khác.
Nha khoa Paris đã giúp hàng ngàn khách hàng thoát khỏi tình trạng bọc răng sứ bị viêm lợi và nhận được những phản hồi tích cực. Nếu bạn muốn nhanh chóng loại trừ đau đớn, khó chịu do bệnh lý viêm lợi gây ra thì còn chờ đợi gì nữa mà không đến phòng nha ngay.
Răng cửa mọc lệch là những trường hợp răng bị vênh, nghiêng không theo chuẩn của hàm thông thường. Có thể thụt vào phía trong hay nhô ra ngoài không đều so với các răng bên cạnh được gọi là tình trạng răng cửa lệch. Răng bị lệch, mọc không đều là trường ...
Để đảm bảo về tính an toàn và hiệu quả khi thực hiện bọc răng sứ, bạn nên tìm hiểu trước về quy trình bọc răng sứ chuẩn Quốc tế. Vậy như thế nào mới được coi là đúng chuẩn quốc tế và quy trình ra sao sẽ tốt và tiết kiệm thời gian nhất? Xem ngay dưới ...
Câu hỏi: “Chào bác sỹ, em hiện đang có một chiếc răng cửa bị mẻ khá lớn, mất 1 nửa nên em muốn đi bọc sứ lại. Em nghe nói là sau khi mài răng xong phải lắp răng tạm trong khi chờ răng sứ được chế tạo. Nhưng em hơi băn khoăn là liệu ...
Chào bác sĩ, bác sĩ cho tôi hỏi là sau khi bọc răng sứ xong có niềng được không? Do hàm răng của tôi bị lệch lạc, mọc không đều nên tôi có ý định đi niềng răng. Xin Bs tư vấn và cho tôi lời khuyên. Cảm ơn Bác sĩ ! ...
Bọc răng sứ là phương pháp phục hình răng khiếm khuyết hiệu quả, được nhiều người lựa chọn. Câu hỏi đặt ra: Bọc răng sứ có đau không? Bạn có đang băn khoăn, vướng mắc về vấn đề này? Nếu gặp phải câu hỏi tương tự, đừng bỏ lỡ nội dung bài viết dưới đây! ...
Bọc sứ 4 răng cửa không phải là trường hợp quá hiếm hoi hiện nay. Tuy nhiên, bởi vị trí răng cần phục hình có yêu cầu rất cao về tính thẩm mỹ nên cần lựa chọn loại răng sứ đảm bảo chất lượng, đặc biệt là về tính thẩm mỹ của răng. Cùng tìm ...
Hãy để lại bình luận của bạn bên dưới!
Nhập thông tin của bạn
×